6 strange objects found in people's stomachs
From entire cutlery sets to massive hairballs, doctors have discovered some awfully bizarre items in the bellies of their patients
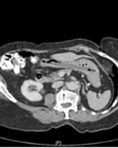
A CT scan of a 76-year-old woman's stomach shows the outline of a pen that was lodged there for 25 years. Photo: BMJ.com
A 76-year-old British woman recently checked herself into a hospital in England with complaints of diarrhea and weight loss. When doctors examined her, they found an unrelated problem: A felt-tipped pen that had been stuck in her stomach for 25 years. The patient recalled having used the blunt end of the pen to "inspect a spot on her tonsils when she slipped, fell, and accidentally swallowed the pen," says ABC News. The pen had never caused her any problems, despite being in her stomach for more than two decades. When the team of doctors "fished the pen out of its gastrointestinal hiding place, they found that it still wrote clearly." Here, five other strange objects found in the stomachs of patients across the globe:
1. 78 pieces of cutlery
Surgeons in the Netherlands were "flabbergasted" in 2009 by the case of 52-year-old Margaret Daalman, who checked into the hospital complaining of a stomach ache. X-rays revealed 78 distinct pieces of cutlery — literally "dozens of forks and spoons," says Britain's Daily Mail — which doctors were forced to remove one by one to save her life. Daalman reportedly suffered from a rare personality disorder that caused her to consume utensils whenever she sat down for a meal.
2. A 10-pound hairball
A "massive" hairball was found in the stomach of an 18-year-old girl in Chicago in 2009. She had been complaining of stomach pains and vomiting, says Fox News, and over the course of a five-month period, the girl lost more than 40 pounds. Doctors say she suffered from a strange psychological condition that caused her to eat her own hair. The hairball doctors fished out measured 15 inches by 7 inches by 7 inches. The young woman has since stopped eating her own hair.
3. An entire magnet set
Haley Lents, 8, of Indiana ingested 20 steel balls and 10 magnets in 2009 because "they looked like candy." The pieces were part of a Magnetix construction set, which Haley had somehow managed to swallow while her mother was in the room. Her father told CBS News that Haley is a smart girl who typically "get's A's and B's," and that he didn't understand how the magnets ended up in her digestive tract. Haley recovered after spending two weeks in the hospital.
4. More than 400 coins
Over 13 pounds of coins and other iron objects were found in the belly of Kuleshwar Singh, 28, in November. At first, sonography and X-rays didn't reveal anything other than "intestinal blockage and a few lumps." Doctors still opened up his stomach, and found 421 coins, 197 fishnet pellets, three keys, and 19 bolts from a bicycle chain. Doctors suspected Singh suffered from schizophrenia and a rare condition called pica, which "creates an unusual desire to eat non-nutritional items."
5. A man's twin brother
Sanju Bhagat, 36, of Nagpur, India, had been teased his whole life because of the giant bulge in his belly, which made him look like he was "nine months pregnant." One night in 1999, he was rushed to the hospital in pain, and doctors decided to operate on what they suspected was a "giant tumor," says ABC News. But according to Dr. Ajay Mehta, what they found was much more frightening. "To my surprise and horror," says Mehta, "I could shake hands with somebody inside." Indeed, there was a "strange, half-formed creature that had feet and hands." Bhagat suffered from a rare medical condition in which the fetus of his twin brother became trapped inside him while he was still in his mother's womb, surviving for decades as a parasite by leaching blood, complete with an "umbilical cord-like structure."
Sources: ABC News (2), CBS News, Daily Mail, Fox News, Hindustan Times












Follow Us: