Science

Get the RSS Feed
Not wanting to waste any time, NASA's overachieving Curiosity rover beams back images of Mars' surface, with its shadow center, using a "fisheye" wide angle lens.

4 ways of looking at the Curiosity rover's historic landing

Wheels are down! NASA's multi-billion dollar space lab will finally begin its mission to determine if life on Mars ever existed. Here's what its successful touch-down means

 
An artist's rendition of a "vampire star" sucking gas from another star so that it can become bigger and brighter.

The surprising prevalence of killer 'vampire stars'

Some of our galaxy's biggest, brightest stars are members of binary systems — and they're sucking the life right out of their partner stars

 
An artist's illustration: Earth's inhabitable climate may not be unique.

The 5 most potentially inhabitable alien planets

Scientists rank the exoplanets most likely to have the rare ability to harbor life — though the chances are still pretty slim

 
Sally Ride: A visual tribute to the first woman in space

Sally Ride: A visual tribute to America's first female astronaut

As the first U.S. woman sent into space, Ride became an almost literal symbol of women's ability to break the glass ceiling

 
Images from NASA's 2004 Cassini mission show river networks draining into lakes in north polar region of Saturn's largest natural satellite, Titan.

Is Saturn's moon Titan even more Earth-like than we thought?

Scientists reveal that underneath thick layers of cloud cover, the moon's icy surface has complex river networks and a remarkably smooth landscape

 
Take a whiff: After spacewalks, astronauts' space suits are said to carry a lingering, unpleasant metallic smell.

What does space smell like?

The gear of an astronaut who's completed a space walk emits what some describe as a burnt metallic stench. Now, NASA wants to recreate it

 
An artist's concept of Curiosity on Mars: In order to do its job investigating the red planet for traces of microbial alien life, the NASA rover must first survive the landing.

The Mars rover's '7 minutes of terror': A guide to the planned landing

The $2.5 billion Curiosity rover has mere moments to go from 13,000 miles per hour to zero — and one small error could ruin everything

 
An image taken by NASA's Hubble Space Telescope shows five moons orbiting the distant, icy dwarf planet Pluto: The green circle marks the newly discovered moon, designated P5.

Do Pluto and its largest moon form a 'double planet'?

The mysterious dwarf continues to surprise scientists, as a newly discovered moon resurrects a debate over the former planet's status

 
An undated computer graphic of the proton-proton collision that may result in the "God particle": Some U.S. researchers are now questioning whether their European counterparts actually discovered the God particle.

What if scientists actually didn't discover the Higgs boson?

American physicists throw cold water on their European colleagues' big "God particle" party. Here's what you need to know

 
An astronaut on the International Space Station: New research suggests that space's lack of gravity may do the human body more good than harm.

Could space travel make people live longer?

Zero gravity does strange things to our physiology, and now researchers think it may actually make the body age more slowly

 
This May 2011 photo of a wall painting at the European Center for Nuclear Research (CERN) outside Geneva shows how a Higgs boson may look: CERN scientists believe they have found a Higgs boson particle, which means there could be others.

Glimpsing the 'God particle': 4 lingering questions

The near-certain discovery of the Higgs boson is a huge deal for scientists. Here are some reasons it might mean something to laypeople, too

 
The existence of the long sought-after "God particle" would validate expensive scientific investments like the $10 billion Large Hadron Collider, pictured.

What finding the God particle would mean: 3 talking points

After billions of dollars of research and trillions of smashed atoms, scientists may finally offer proof on July 4 that the long-sought Higgs boson particle exists

 
Using the hashtag #ChasingUFOs, alien fanatics everywhere can tweet messages that will be cobbled together and sent up to our potential E.T. friends.

The final frontier: Tweeting at aliens?

On the 35th anniversary of the mysterious Wow! signal astronomers received in 1977, we'll finally respond to what some believe was a message from extraterrestrials

 
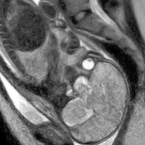
The baby waits in the birth canal just before being welcomed into the world.

The most astonishing birth video ever... captured by MRI

German doctors have created a first-of-its-kind video that shows a baby completing its journey from womb to world, X-ray style

 
Using images of giggling young women and make-up, a misguided EU video attempts to encourage girls to study science.

The E.U.'s 'breathtakingly sexist' science video

A European Union effort to lure girls into careers in the lab depicts women scientists as catwalking "cosmetics junkies," sparking a predictable backlash

 
Get 4 Free Issues!

This week's issue

Subscribe now

Give a gift subscription

customer service

Facebook

Twitter

Stumble

Tumblr

RSS

Newsletter

 
SEE MORE STORIES ON SLATE
SEE MORE STORIES ON POLITICALWIRE

from our partners

Get The Week iPad app
Get The Week iPad app